Fluoride is a trace mineral naturally present in small amounts in a variety of foods. This can actively reverse dental caries. The benefits of fluoride have been well-known for over 50 years and have been consistently utilized in dental practice.
Greenbelt general dentist and their team are friendly and compassionate. They provide extensive fluoride treatments that can keep dental caries at bay!
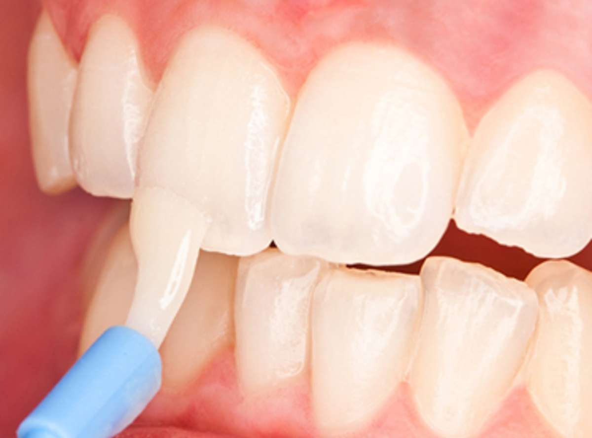
What is fluoride treatment?
Fluoride treatment is typically a professional treatment performed at a dental clinic that involves the application of a high concentration of fluoride to your teeth. The fluoride seeps into the tooth structure and forms a protective coating that prevents plaque accumulation and bacterial colonization. Thus, this helps prevent dental problems like tooth decay and gum disease. Furthermore, fluoride makes your enamel acid-resistant by promoting remineralization of the tooth.
Fluoride works in two ways:
Topical fluoride
- Topical fluoride prevents decay in the newly erupted teeth.
- Fluoride is delivered through toothpaste, mouth rinse, and gels.
- Dentists recommend topical fluoride treatment for children at least twice a year during dental checkups.
Systemic fluoride
- This mode of fluoride delivery can strengthen the erupted teeth as well as the ones that are still developing under the gums.
- This is administered through regular community water supply or in the form of gels or tablets.
- Care should be taken to discuss the dose with your dentist to prevent fluorosis (excess fluoride levels that cause white spots or stains on your teeth).
When is fluoride treatment indicated?
Fluoride treatment is indicated for the following reasons:
- Deep pits and fissures on the chewing surfaces of the teeth
- Exposed and sensitive root surfaces
- Fair to poor oral hygiene
- Frequent sugar and carbohydrate intake
- Inadequate exposure to fluorides
- Xerostomia, a condition caused by low saliva content leading to dry mouth
- Recent history of dental decay
What are the benefits of fluoride treatment?
Fluoride treatment is a preferred preventive procedure due to the following benefits:
- It has versatile application since it can be used for children and adults
- Effectively prevents tooth decay
- Halts or arrests existing caries
- Is a cost-effective procedure
- Avoids the necessity for expensive dental work
- Prevents premature loss of teeth
Summary
Dentists harness the power and ability of fluorides to strengthen your tooth enamel and reduce the risk of caries. However, this alone cannot prevent tooth decay. Ensure to brush and floss your teeth twice daily, eat balanced meals, minimize sugary snacks, and visit your dentist regularly.













Comments